Brücken - Dr.med.dent. Gunnar Schnitzler, Cerec

Direkt zum Seiteninhalt

Bilder zum Vergrößern anklicken

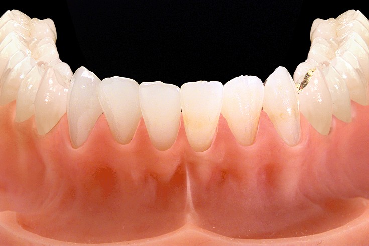
Brücken im Frontzahnbereich (Schneidezahn)

Zum Ersatz des fehlenden Zahnes müssen die Nachbarzähne beschliffen werden, die als Ankerzähne dann die fertige Brücke aufnehmen.



Versorgung der Lücke mit einer Brücke, die vestibulär ( außen ) verblendet ist. Metallanteile auf der Zungenseite sind sichtbar.



Versorgung der Lücke mit einer Brücke, die mehrflächig verblendet ist. Metallanteile sind sichtbar, aber weniger als bei der o.g. Lösung.



Versorgung der Lücke mit einer Brücke, die aus Vollkeramik angefertigt ist. Metallanteile sind nicht sichtbar, da kein Metall verarbeitet wird.



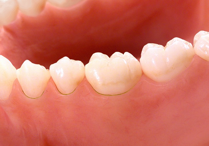
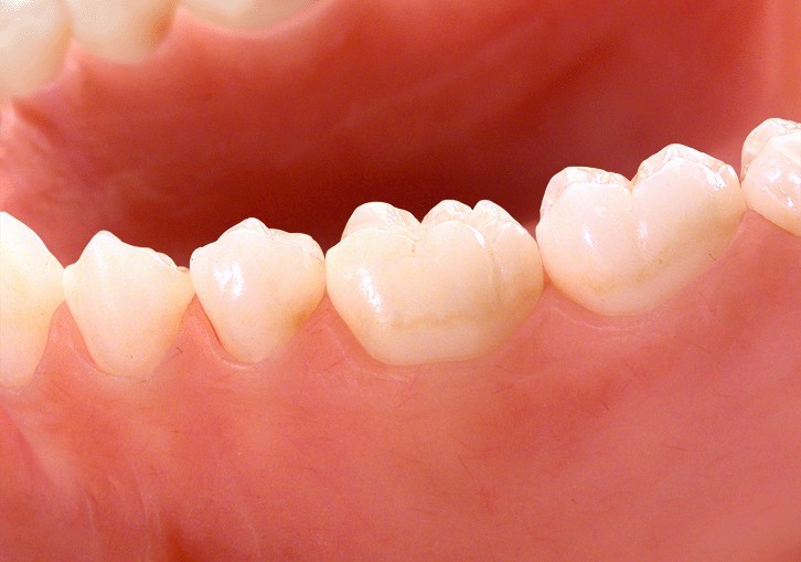
Brücken im Seitenzahnbereich (Backenzahn)

Zum Ersatz des fehlenden Zahnes müssen die Nachbarzähne beschliffen werden, die als Ankerzähne dann die fertige Brücke aufnehmen.



Versorgung der Lücke mit einer Brücke, die vestibulär ( außen ) verblendet ist ( bis zur vorgeschriebenen Verblendgrenze = im Unterkiefer Zahn 4 und im Oberkiefer Zahn 5 ). Die weiter hinteren Kronen bestehen aus einer Metallegierung.



Versorgung der Lücke mit einer Brücke, nach der Verblendgrenze. Die Kronen bestehen aus einer Metallegierung. Es ist überall Metall zu sehen. ( = Gußkronen )

Versorgung der Lücke mit einer Brücke, die mehrflächig verblendet ist. Metallanteile sind sichtbar, aber weniger als bei der o.g. Lösung.



Versorgung der Lücke mit einer Brücke, die aus Vollkeramik angefertigt ist. Metallanteile sind nicht sichtbar, da kein Metall verarbeitet wird.



Zurück zum Seiteninhalt