Cerec Frontzahnrestauration - Dr.med.dent. Gunnar Schnitzler, Cerec

Direkt zum Seiteninhalt

Bilder zum Vergrößern anklicken

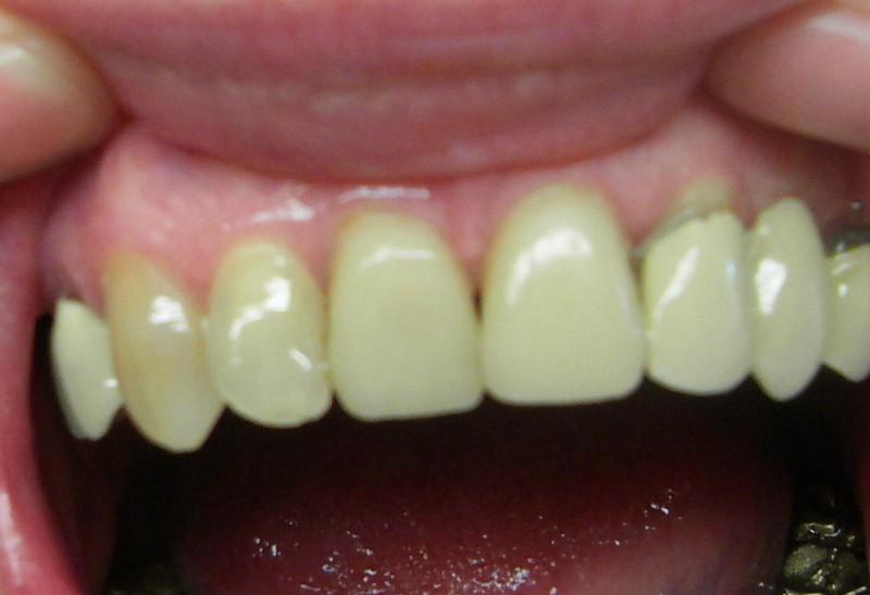
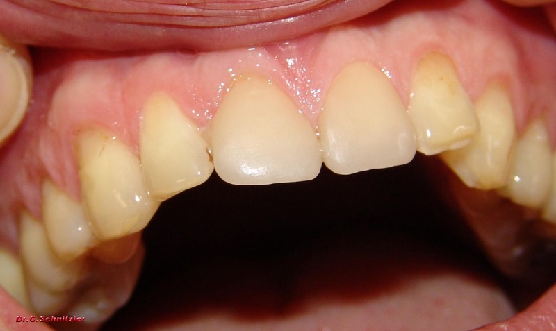
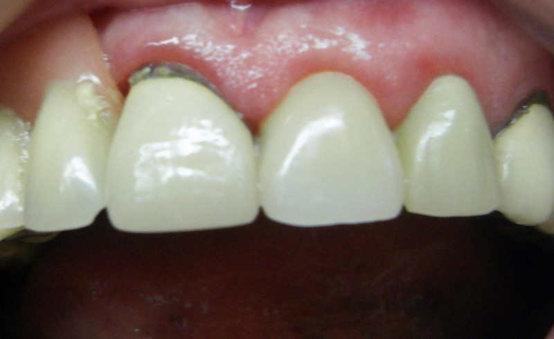
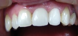
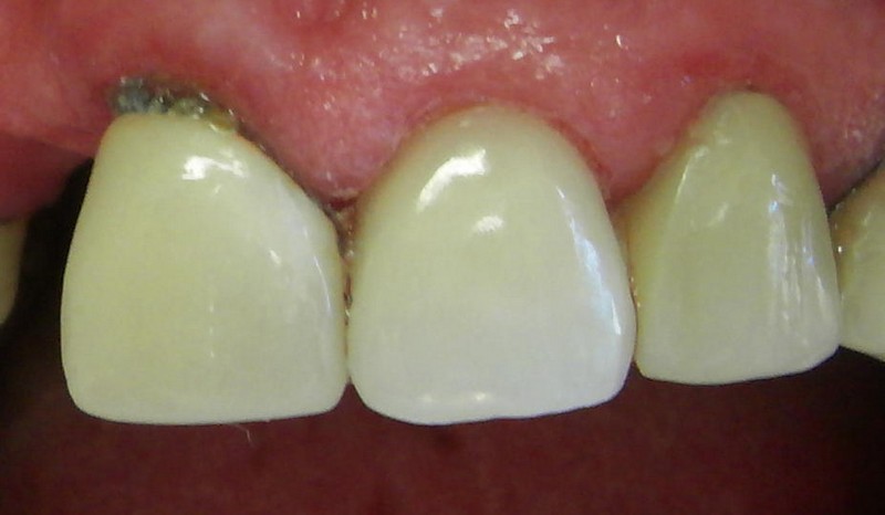
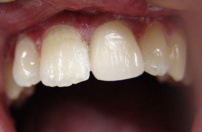
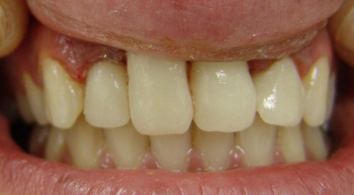
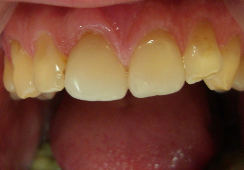
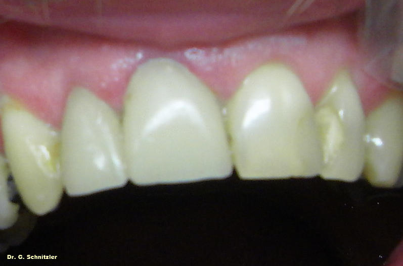
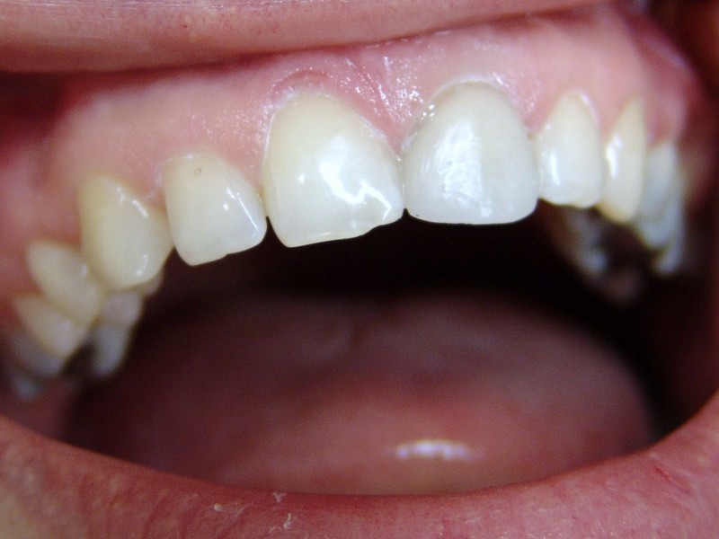
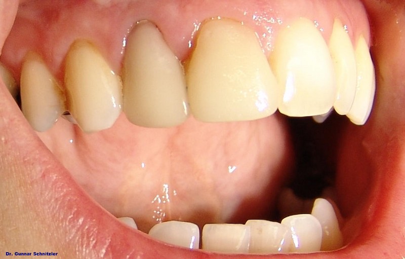
Vollkronen Frontzähne

Veneers

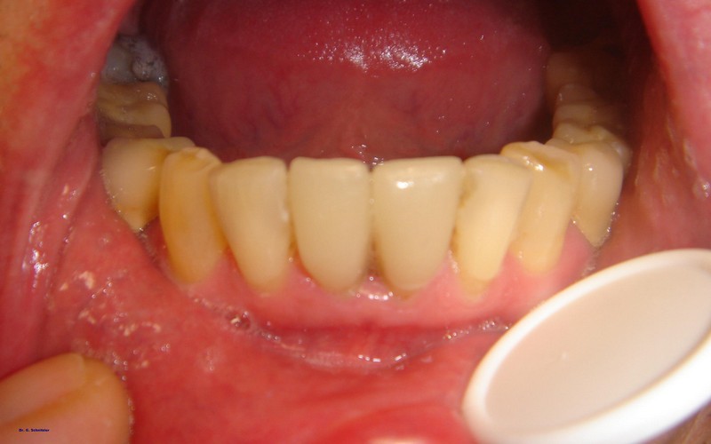
Teilkronen

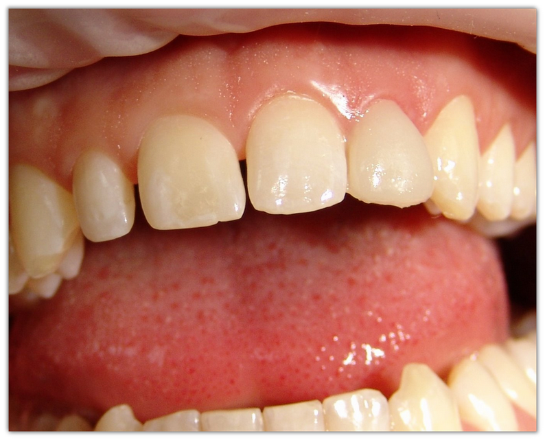
Korrektur der Zahnstellung

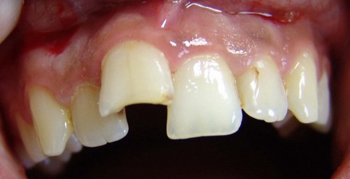
Zahnersatzreparatur

Zurück zum Seiteninhalt