Viele gute Gründe, warum sich Patienten für eine Cerec-Restauration entscheiden sollten
*****


defekte Amalgamfüllung
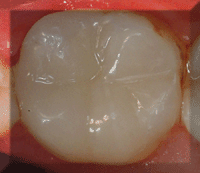
Vollkeramikfüllung
Natürliche Ästhetik und Verträglichkeit,
auf die Sie sich verlassen können
01. viele individuelle Zahnfarben --> kaum sichtbar im Mund
02. sehr hohe Ästhetik mit individueller Charakterisierung ist möglich ( schönste Lösung )
03. exzellenter Chamäleoneffekt und daher gute Integration in die Restzahnsubstanz
04. keine dunklen Restaurationsränder durch Metallanteilverzicht
05. präzise Verarbeitung, sehr hoher Qualitätsstandard
06. hoch biokompatibel, sehr hohe Veträglichkeit ( kein Metallanteil), keine bekannten Allergien
07. Zahnsubstanz ähnliches Material, daher sind Cerecrestaurationen abriebfest
08. minimales Beschleifen des Zahnes, es wird nur soviel beschliffen, wie notwendig ist
09. häufiges Überkronen des Zahnes kann vermieden werden
10. dauerhaftes Einsetzen der Restauration im Mund, da die Klebetechnik verwendet wird
11. nur 1 Behandlungstermin notwendig, Zeitvorteil
12. kein Fremdlabor notwendig
13. keine unangenehme Abdrucknahme notwendig
14. keine Provisorien notwendig
15. keine Temperaturnebenwirkung wie bei Metallrekonstruktionen vorhanden
16. sehr schleimhautfreundlich, daher große Verminderung der Entzündungserscheinungen am Kronenrand
Schöne Zähne --- ein unschätzbarer Wert
Füllungsmaterial |
Polierbarkeit |
Feuchtigkeits-empfindlichkeit |
Druck-/ Biegefestigkeit |
Ästhetik |
Eigenschaft |
Haltbarkeit |
Glasionomerzemente |
akzeptabel |
stark |
befriedigend |
befriedigend |
milchiges Aussehen |
mäßig |
Kunststoffe |
gut |
bei längerer Zeit |
gut |
gut |
Neigung zu Verfärbungen |
begrenzt |
Kompomere |
befriedigend |
bei längerer Zeit |
gut |
befriedigend |
Randverfärbungen |
begrenzt |
Keramik |
sehr gut |
keine |
sehr gut |
sehr gut |
gleicht dem natürlichen Zahn |
langlebig |