Teleskopprothese - Dr.med.dent. Gunnar Schnitzler, Cerec

Direkt zum Seiteninhalt

Bilder zum Vergrößern anklicken

Die Teleskopprothese im Oberkiefer

Die Pfeilerzähne werden mit einer festsitzenden Primärkrone versorgt. Die Secundärkrone wird in die Prothese eingearbeitet. Sie überkront den goldfarbenen Zahnstumpf der Primärkrone. Die Primärkronen können heutzutage auch aus Vollkeramik gefertigt werden.


Diese klammerlose Verankerung ist eine ästhetisch anspruchsvolle Versorgung und leicht zu handhaben. Hier sind die Teleskopkronen mit einer Keramikvollverblendung zu sehen.


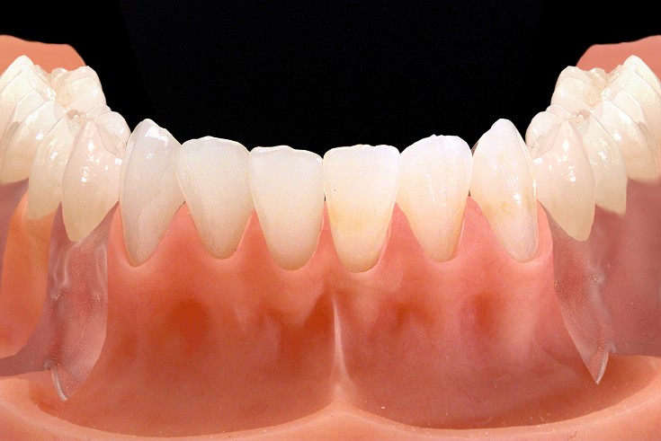
Die Teleskopprothese im Unterkiefer

Die Pfeilerzähne werden mit einer festsitzenden Primärkrone versorgt. Die Secundärkrone wird in die Prothese eingearbeitet. Sie überkront den goldfarbenen Zahnstumpf der Primärkrone. Die Primärkronen können heutzutage auch aus Vollkeramik gefertigt werden.


Diese klammerlose Verankerung ist eine ästhetisch anspruchsvolle Versorgung und leicht zu handhaben. Hier sind die Teleskopkronen mit einer Keramikvollverblendung zu sehen.


Zurück zum Seiteninhalt