Cerec Seitenzahnrestauration - Dr.med.dent. Gunnar Schnitzler, Cerec
×
Startseite
Impressum
Impressum
Datenschutzerklärung
Datenschutzerklärung 2018
Qualitästmanagement
Praxis
Sprechzeiten
Lage
News
Team
Räume
Gebäude+Eingang
Rezeption
Wartezimmer
Sprechzimmer 01
Sprechzimmer 02
Büro
Labor / Sterilisation
Behandlung
Cerec
Cerec
Cerec Behandlungsschritte
Cerec Vorteile
Cerec Frontzahnrestauration
Cerec Seitenzahnrestauration
Laser
Laserbehandlung
digitale Praxis
digitale Parxis
digitale Röntgen
intraorale Kamera
digitale Veranschaulichung
Implantate
Implantate
moderne Endodontie
Wurzelkanalbehandlung
Parodontologie / regenerative Behandlung
Parodontose
Kinderbehandlung
Kinderbehandlung
Füllungen
Fullungstherapie
Schienentherapie
Knirscherschiene
Silensor
Prophylaxe
Bonusheft
allemeine Prophylaxe
Airflow®
professionelle Zahnreinigung
Fissurenversiegelung
Erosionen
Zahnersatz
Einzelkronen
Veneer
Brücken
Modellgußprothese
Teleskopprothese
Geschiebeprothese
Stegprothese
Stegprothese auf Implantaten
Gesichtsbogen
Ratschläge bei neuen Prothesen
Reinigung von Prothesen
Piercing
Piercing
Service
Service
Zertifikate
Zertifikate Dr.G.Schnitzler
Zertifikate A.Schnitzler
Vorträge
Vorträge
Links
Links
Kontakt
Kontakt
Informationen
Informationen
Direkt zum Seiteninhalt
×
Startseite
Impressum
Impressum
Datenschutzerklärung
Datenschutzerklärung 2018
Qualitästmanagement
Praxis
Sprechzeiten
Lage
News
Team
Räume
Gebäude+Eingang
Rezeption
Wartezimmer
Sprechzimmer 01
Sprechzimmer 02
Büro
Labor / Sterilisation
Behandlung
Cerec
Cerec
Cerec Behandlungsschritte
Cerec Vorteile
Cerec Frontzahnrestauration
Cerec Seitenzahnrestauration
Laser
Laserbehandlung
digitale Praxis
digitale Parxis
digitale Röntgen
intraorale Kamera
digitale Veranschaulichung
Implantate
Implantate
moderne Endodontie
Wurzelkanalbehandlung
Parodontologie / regenerative Behandlung
Parodontose
Kinderbehandlung
Kinderbehandlung
Füllungen
Fullungstherapie
Schienentherapie
Knirscherschiene
Silensor
Prophylaxe
Bonusheft
allemeine Prophylaxe
Airflow®
professionelle Zahnreinigung
Fissurenversiegelung
Erosionen
Zahnersatz
Einzelkronen
Veneer
Brücken
Modellgußprothese
Teleskopprothese
Geschiebeprothese
Stegprothese
Stegprothese auf Implantaten
Gesichtsbogen
Ratschläge bei neuen Prothesen
Reinigung von Prothesen
Piercing
Piercing
Service
Service
Zertifikate
Zertifikate Dr.G.Schnitzler
Zertifikate A.Schnitzler
Vorträge
Vorträge
Links
Links
Kontakt
Kontakt
Informationen
Informationen
Bilder zum Vergrößern anklicken
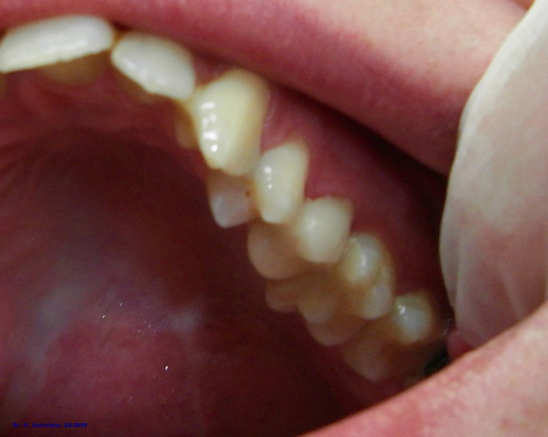
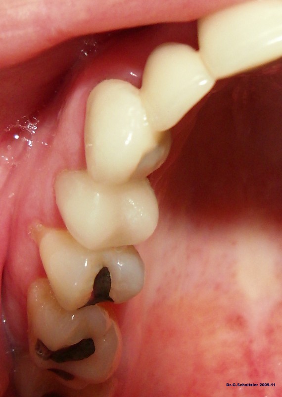
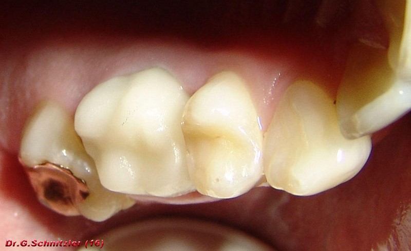
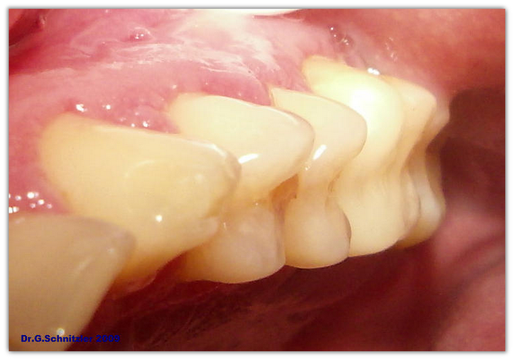
Vollkronen
Teilkronen
Keramikfüllungen
Zurück zum Seiteninhalt
Um diese Website nutzen zu können, aktivieren Sie bitte JavaScript.