Geschiebeprothese - Dr.med.dent. Gunnar Schnitzler, Cerec

Direkt zum Seiteninhalt

Bilder zum Vergrößern anklicken

Die Geschiebeprothese im Oberkiefer

Ein sicherer Halt Ihrer Prothese wird bei der Geschiebeprothese durch nicht sichtbare Geschiebeverbindungsteile erreicht, wobei es verschiedene Geschiebeteilearten gibt. Geschiebe sind starre Verbindungen, die sich selbst lösen lassen. Das eine Teil ist an dem fest einzementierten Zahnersatz (Brücke oder Krone) angebracht, das andere Teil ist in der Prothese eingearbeitet. So wird eine Kombination von festsitzendem und herausnehmbaren Zahnersatz ermöglicht

Vorteile der Geschiebeprothese:

  • sicherer Halt

  • elegante Lösung

  • voll verblendbar mit Keramik

  • höchste Ästheik

Die defekten Zähne wurden mit Kronen, die ein Geschiebeanteil eingearbeitet bekammen versorgt.

Darstellung mit angekoppelter Prothese, die das 2. Geschiebeteil beinhaltet.

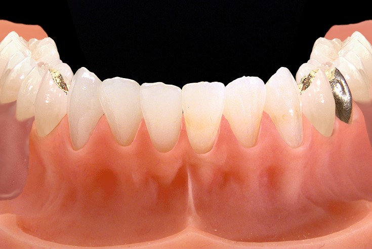
Die Geschiebeprothese im Unterkiefer

Die defekten Zähne wurden mit Kronen, die ein Geschiebeanteil eingearbeitet bekammen versorgt.

Darstellung mit angekoppelter Prothese, die das 2. Geschiebeteil beinhaltet.

Zurück zum Seiteninhalt