Implantatgetragener Zahnersatz
.
.
.

.
.
.
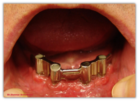
In den unbezahnten Kiefer wurden 4 Implantate ( = künstlichen Zahnwurzeln )eingesetzt. Auf diese Implantaten wurde ein Steg angefertigt, auf dem dann die Prothese sitzt.

.
.
.
Die fertige Prothese im Unterkiefer in der Draufsicht.

.
.
.
Die fertige Prothese im Unterkiefer von unter gesehen.

.
.
.
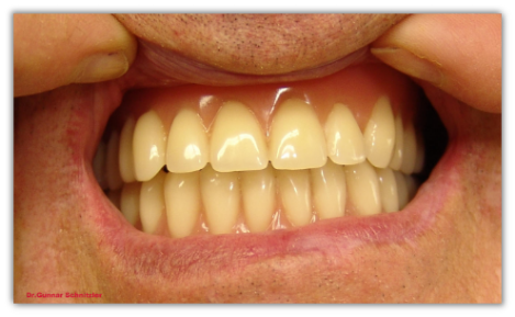
Beide Prothesen sin im Mund zu sehen.